Dental Implants in Flowery Branch, GA
Do you live with uncomfortable or inconvenient tooth loss and desire a permanent solution? Royal Lakes Family and Cosmetic Dentistry offer dental implants for patients near Oakwood, GA. Dental Implants are a great solution for a wide variety of dental problems, including replacing a missing tooth or anchoring dentures. Our dentist can also repair or restore dental implants to ensure they maintain the desired appearance, function, and comfort level.

What Are Dental Implants?
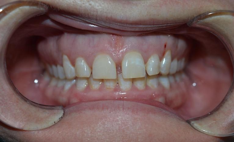
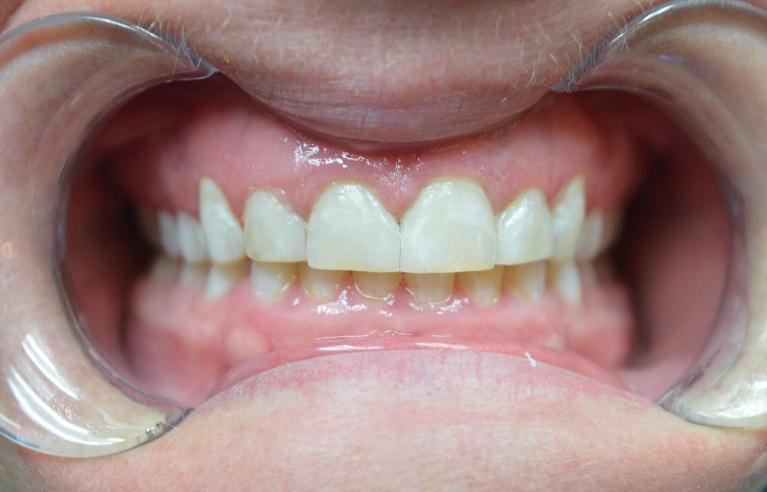
Implants are artificial teeth composed of metal and porcelain. We design dental implants to look just like natural teeth, so no one will know you are wearing them. The implant has three distinct parts: a titanium implant body replaces the root, a connector piece, and a customized crown that matches your remaining teeth.
A Reliable Solution for Missing Teeth
If you need to have a tooth extracted, your Flowery Branch dentist may recommend an implant to replace it. The implant will give you a more natural smile, but it can also stop the remaining teeth from shifting or becoming crooked.
How We Use Dental Implants
Dental implants can protect your remaining teeth after an extraction. And we also often use them to anchor dentures, especially lower dentures that tend to shift when their wearers talk or chew. Dr. Reginald Booker, DDS may also recommend implants to replace partial dentures so you can achieve a more natural look.
Benefits of Dental Implants
Dental implants have various benefits as a tooth replacement solution. Here are just some of the benefits many dental implant patients appreciate.
Improved speech. Tooth loss can hinder speech and pronunciation, and it can even give some people a lisp. Removable prosthetics like dentures can slip and shift in the mouth, but dental implants are secure with a stable foundation. With dental implants, you can speak clearly and uninhibited without worrying about your teeth slipping or shifting out of position.
Enhanced comfort. Dental implants become a part of your natural anatomy through a process called osseointegration, eliminating the hassle or discomfort of removable prosthetics. The dental implants blend in with your mouth seamlessly, fitting to your unique contours and resulting in maximum comfort.
Easier eating. Tooth loss or poor-fitting dentures can make chewing and eating very difficult. Since dental implants function like natural teeth, you can enjoy your favorite foods with comfort and ease.
Enhanced self-esteem. Everyone wants a smile that they love and feel proud to share with the world. Dental implants can give you the smile you’ve always wanted so you can enjoy your life to the fullest.
Improved oral health. With dental implants, your natural teeth remain unaltered and intact, preserving your long-term oral health. Easier access between the teeth also allows patients to practice more thorough oral hygiene. Ultimately, dental implants can reduce the risk of tooth decay, additional tooth loss, jaw bone deterioration, and gum disease.
Improved jawbone health. Dental implants are custom-made to look and feel like your natural teeth. Because we surgically place them in the jaw, it prevents bone deterioration and tooth migration.
Long-lasting durability. With excellent care, dental implants can last a lifetime as they naturally integrate into the jawbone. 
Unparalleled convenience. Dental implants are convenient because they’re permanent. There’s no need for messy adhesives, nor do you have to worry about denture slippage or other common nuisances associated with removable prostheses.
Schedule a Consultation with Our Implant Dentist in Flowery Branch!
Are you ready to reclaim your smile with dental implants? Please get in touch with our Flowery Branch, GA dental team today at (770) 531-3232 to schedule your consultation with Dr. Booker. We are also always happy to answer any questions you may have.
We look forward to helping you restore your smile!