Orthodontics in Flowery Branch, GA
Dr. Reginald Booker, DDS, your skilled and experienced family dentist in Flowery Branch, GA, is an authorized Invisalign and traditional braces. Both of these orthodontic systems will allow you to have straighter teeth.
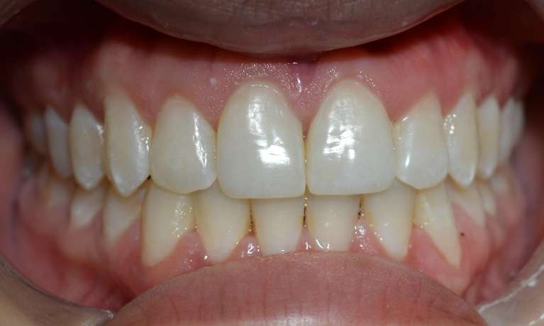
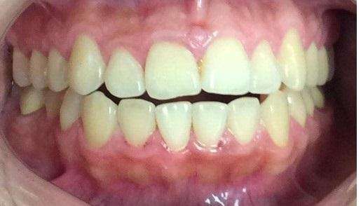
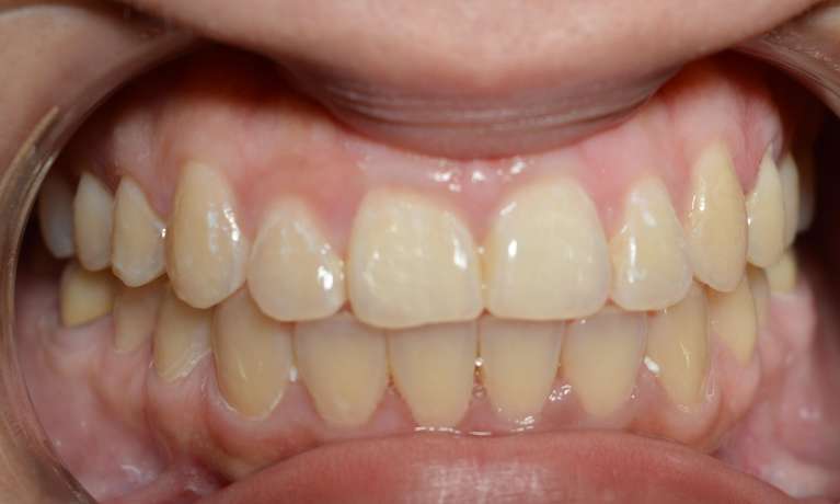
Like any dental treatment, each patient’s results will vary depending on your unique goals and dental anatomy. However, both Invisalign and traditional braces are designed with the patient’s individual features and preferences in mind, making these braces customized to your needs. Invisalign and traditional braces have already changed countless lives, and we are confident this innovative treatment will make you smile for years to come!
At Royal Lakes Family and Cosmetic Dentistry, it all starts with a consultation at our dental office. Give us a call today at (770) 531-3232 to set up a consultation with our dentist in Flowery Branch, GA!
Straighten Your Smile with Invisalign in Flowery Branch
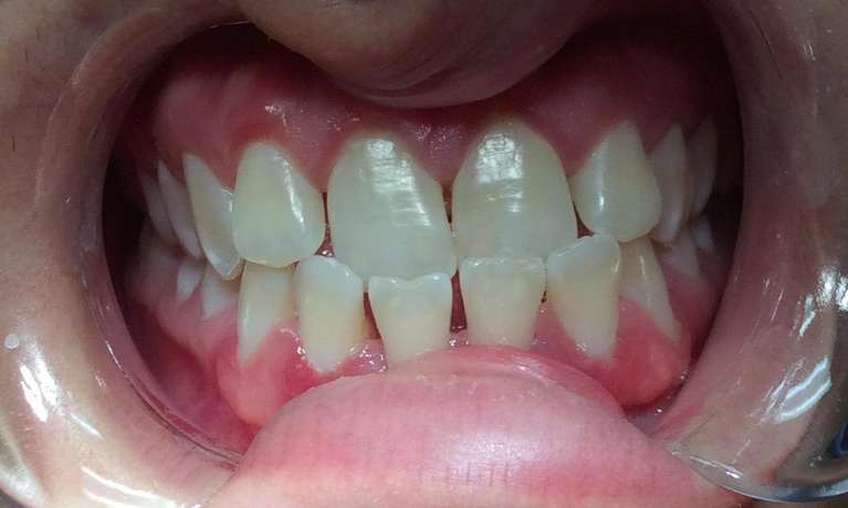
Invisalign has more than seven treatment processes that can cater to the needs of virtually all patients. Invisalign clear aligners are customized to perfectly fit into your routine life. These aligners are not only invisible, but they are also comfortable, hence you can be sure that they will not interfere with your day-to-day activities. With these aligners, you will gradually notice the transformation in the alignment of your teeth resulting in a more beautiful smile.

Wearing Your Invisible Aligners
Whether it’s a movie or your favorite glass of wine, Invisalign clear aligners are easily removable and virtually invisible so they won’t stop you from living your life to the fullest. You need to remove your aligners before eating and drinking but ensure you clean your teeth well before getting them back into your mouth. To get desired results, it is recommended that you wear your aligners for 20-22 hours every day.
Depending on your dentist’s prescription, you may have to switch out your aligners weekly or biweekly. Additionally, you may have scheduled dental check-ups every six to eight weeks. During these visits, your dentist will examine treatment progress and you will be issued with the next set of aligners. Essentially, you will make relatively fewer visits to the dentist meaning that you will have enough time to live a normal life.
You may experience some discomfort or tenderness when you wear a new batch of aligners. However, this is normal, and the discomfort will go away in a few days.
Key Characteristics of Invisalign Clear Aligners
Align Technology, Inc. has over twenty years of practice and has over the years assisted more than 6 million patients. The company uses advanced technology to ensure its treatment options are safe, comfortable, conventional, predictable, and reliable.
- Highly predictable by offering gentle but continual pressure on misaligned teeth.
- Designed from durable plastic that can tolerate repeated insertions and removals.
- Excellent tracking of tooth movement since the aligners can go back to their original form.
- Easy to clean with a soft toothbrush and the Invisalign cleaning system.
Benefits of Having Straighter Teeth
There are numerous benefits of having properly aligned teeth, and the benefits are more than just cosmetic. With Invisalign or Six Month Smiles, your straighter smile can do the following:
- Reduce bad breath – Straight teeth are easier to keep clean so that you can prevent the growth of harmful bacteria and bad breath.
- Decrease oral health risks – Straight teeth help prevent oral health risks, such as cavities, tooth decay, and gum disease.
- Improves chewing – A straight smile will help you chew your food more comfortably and thoroughly, which ultimately improves digestion.
- Improves pronunciation – With straighter teeth, you will have better pronunciation of words and more confidence when speaking.
These are just a few of the healthful benefits associated with having a straighter smile. With Invisalign and Six Month Smiles, you'll be reaping the rewards for years to come.
Schedule a Consultation at Our Flowery Branch, GA Dentist Office!
Everyone deserves to have a beautiful, healthy smile they’re proud of. With Invisalign or Six Month Smiles, you can comfortably enhance your smile in no time. Our skilled and compassionate team at Royal Lakes Family and Cosmetic Dentistry looks forward to helping you achieve a straighter, healthier smile. Right now, we have an exclusive offer for both of these treatments created with you in mind.
We are proud of our commitment to our patients and our ability to produce straight, healthy smiles in a patient-focused environment. If you are ready to schedule a consultation for clear aligners, please call us at (770) 531-3232!
straightening your teeth and improving your smile. Coming in for minor adjustments can speed up the amount of time that you have to wear braces and making sure that nothing is off.