Tooth Colored Fillings in Flowery Branch, GA

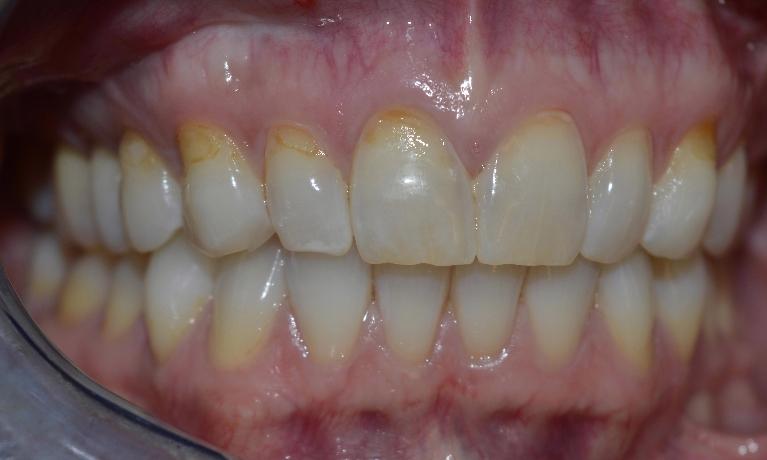
Tooth Colored Fillings Flowery Branch, GAIf your idea of dental fillings involves a mouth full of metal and an obviously marred smile, you might want to rethink your assumptions. Modern fillings are designed to be almost invisible, so no one needs to know you have them unless you choose to tell.

The secret of a wonderful natural-looking smile is the white fillings for front teeth– an advancement in dental technology that will help you retain your bright and youthful smile no matter what the circumstances. Whether the problem is a small cavity or a more advanced case of tooth decay, white fillings can restore the integrity of your teeth and make you look better than ever.

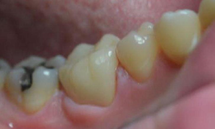
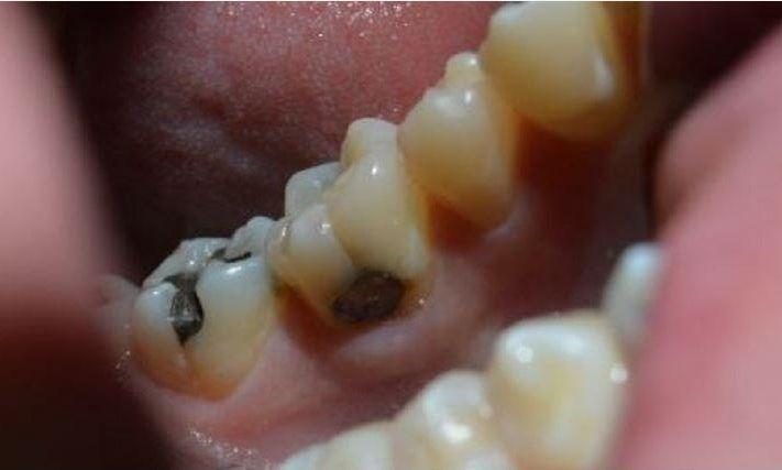
White fillings in Oakwood are now the preferred option for men and women whose teeth have been damaged by cavities and tooth decay. A lot of them would often inquire about white fillings for gaps in teeth. These are the first line of defense against these common oral hygiene issues, and they can also be used to replace existing fillings, which can be unsightly and anything but unobtrusive.

How Can White Fillings In Oakwood, GA Improve My Smile?

White fillings have a number of important advantages, starting with their more natural appearance. As the name implies, white fillings are designed to blend in with your natural teeth, improving your appearance and giving you a new level of self-confidence.

White fillings are also better than traditional fillings because they allow you to maintain the structural integrity of the underlying tooth. Instead of the endless scraping associated with metal fillings, the dentist simply uses the white fillings to patch the problem area, leaving the rest of the tooth in place and minimizing any damage.

White fillings are also much more resistant to heat and cold than traditional mercury and metal fillings. The contraction associated with hot and cold food and drink often damage traditional fillings, but white fillings are far more durable.

What Are The Different Types Of White Fillings?

We can choose from two different types of white fillings depending on the specifics of your case and the extent of any tooth decay. Composite resin fillings can be applied in a single dental visit and involve the molding of flexible material on to the shape of the underlying tooth.

Indirect restoration takes a little longer and is more suited to seriously damaged or broken teeth. These white fillings are specifically designed for your teeth and applied in a custom manner, restoring your smile and making you look your best. No matter which option you choose, it is easy to see why so many dental patients are choosing the beauty and natural look of natural white fillings over the metal and mercury fillings of years gone by.

Schedule Your Appointment Now

A dentist in Flowery Branch can help you if you need a fresh cavity filled or an existing silver filling replaced. Royal Lakes Family and Cosmetic Dentistry can make your dental appointment more pleasant, as well as improve the appearance of your smile.

Simply call our office at (770) 531-3232 to schedule an appointment.